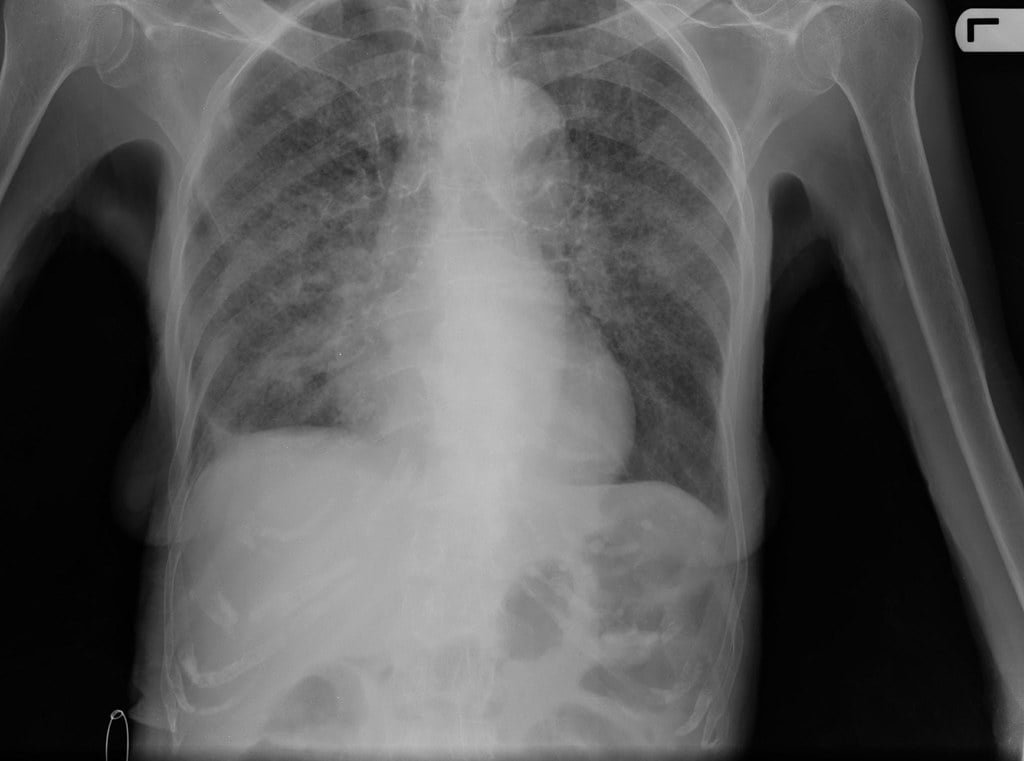
Comment un investissement soutenu peut aider à mettre fin à la tuberculose

24 mars 2026 | Fodé Danfakha, Thoko Elphick-Pooley
Thoko Elphick Pooley de la Fondation Gates et Fodé Danfakha du Programme de lutte contre la tuberculose au Sénégal proposent un plan d'élimination de cette maladie.
 Site référencé:  scidev.net

scidev.net 

Lait infantile : L’Afrique doit se doter de systèmes d’alerte et de contrôle
1er/04/2026
Q&#038 ;R : Pourquoi les fonds d’adaptation échappent aux peuples les plus touchés ?
31/03/2026
Adaptation au climat : Un rapport pointe des exemples à suivre en Afrique
20/03/2026
Climat : Valoriser les mesures d adaptation développées localement en Afrique
16/03/2026
Faire des morsures de serpent une priorité de santé publique
12/03/2026
Q&#038 ;R : Transformer les défauts des énergies renouvelables en opportunités
9/03/2026